Wissenswertes

Tipps, Ratgeber und Neuigkeiten rund um Ihre Zahngesundheit

Kindgerechter Zahnarztbesuch in ruhiger Atmosphäre
28. Januar 2026
Warum frühe Zahnarztbesuche wichtig sind, welche Rolle Milchzähne spielen und wie Kinder eine positive Einstellung zur Zahnpflege entwickeln.
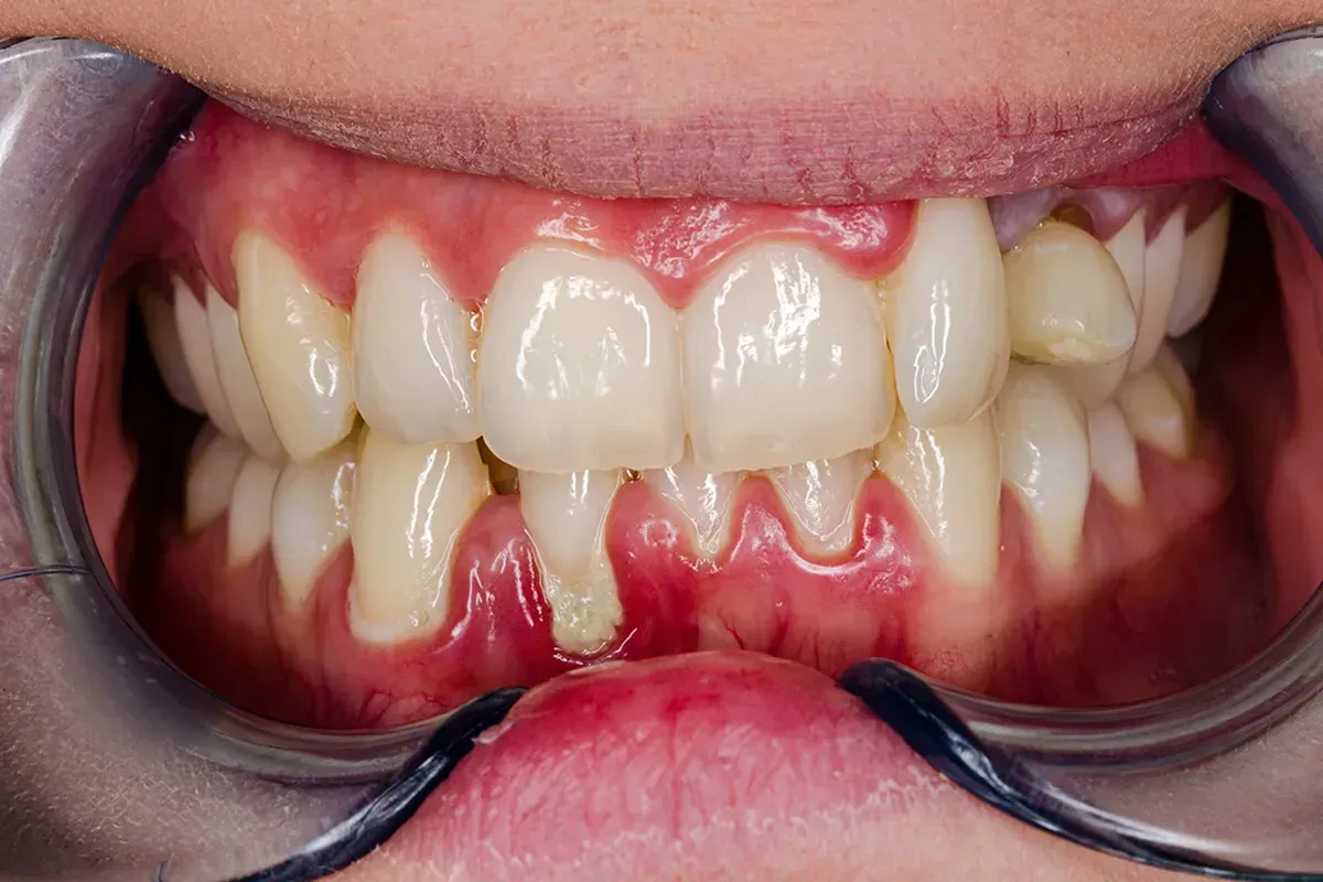
Entzündetes Zahnfleisch bei fortgeschrittener Parodontitis
21. Januar 2026
Parodontitis betrifft Zahnfleisch und Kieferknochen. Erfahren Sie, wie die Erkrankung entsteht und welche Symptome typisch sind.
Professionelle Zahnreinigung in der Zahnarztpraxis
14. Januar 2026
Die professionelle Zahnreinigung unterstützt die Mundgesundheit. Lesen Sie, wie sie abläuft, warum sie wichtig ist und welchen Beitrag sie zur Vorsorge leistet.

Haben Sie Fragen?

Wir beraten Sie gerne persönlich in unserer Praxis.

Termin vereinbaren